
최근 생물정보학과 동물유전학을 공부하는 제 흥미를 사로잡은 참신한 영화 하나를 보게 되었습니다. 영화 제목은 바로 "유전 (Hereditary)". 한 가문에 씌인 저주가 유전병과 같이 부모로부터 대물림되어 자식에게도 거듭된다는 줄거리의 공포 영화입니다. 그렇다면 이 영화의 소재인 유전병은 과연 무엇이며 또 동물에서는 어떠한 유전병들이 존재하는지 같이 알아보실까요?
영화 유전 포스터 (출처: 나무위키)
유전과 유전병
우선 유전병에 관해 이야기하기에 앞서, 유전에 대하여 간단히 알아보겠습니다. 유전(heredity)은 부모의 특성(형질; trait)이 자식에게 전달되는 현상을 뜻하며, 특성은 겉으로 드러나는 외모나 체형, 겉으로 드러나지 않는 체질, 성격 등을 모두 포함하게 됩니다. 유전은 통칭 Deoxyribo nucleic acid (DNA)라고 불리는 유전물질이 뭉쳐진 염색체(chromosome)가 부모로부터 복제되어 자식으로 전달되어 진행되는데 이때 이 DNA를 원인으로 발생하는 질환을 바로 흔히 유전병(hereditary disease)이라고 부릅니다. 유전병의 원인은 다양한 형태로 존재하지만 가장 큰 대표적인 원인은 바로 돌연변이에 의한 DNA의 변형입니다. 돌연변이는 염색체의 어느 곳에서나 발생할 수 있어 발생 위치가 성을 결정하는 성염색체인 경우 성염색체 유전병, 그 외 염색체인 경우 상염색체 유전병으로 분류됩니다. 또한 유전병의 발현 형태에 따라서도 분류되어 한 쌍의 염색체 중 한쪽에만 돌연변이가 있어도 유전병이 발생하는 경우 우성 유전병, 양쪽 모두 돌연변이가 있어야 발생하는 경우 열성 유전병으로 정의됩니다.

유전병의 예시 (출처: 생화학분자생물학회)
근친혼과 유전병
13세기부터 20세기까지 합스부르크 왕가는 막강한 권력으로 유럽의 전역을 호령하였다고 합니다. 이 중 스페인계 합스부르크 왕가는 영화 유전의 "저주"처럼 기형적으로 돌출된 주걱턱을 갖는 합스부르크 립(Habsburger Unterlippe) 저주를 갖게 되었으며, 일평생 갖가지 신체적, 정신적 장애를 겪었다고 기록되었습니다. 합스부르크 왕가는 왜 이러한 저주에 시달려야 했을까요?
많은 연구자가 추정한 결과 합스부르크 립 저주는 자연의 섭리를 거스르는 근친혼 때문이라고 밝혀졌습니다. 합스부르크 왕가는 권력의 분립을 막기 위해 3~4촌 등의 매우 가까운 친족간의 근친혼을 빈번하게 자행하였고 이에 따라 합스부르크 립을 포함한 다양한 유전병들의 발현으로 근친퇴화(inbreeding depression)를 직면하게 된 것이죠.

합스부르크 립 (출처: 위키피디아)

합스부르크 가계도 (출처: 나무위키)
그렇다면 근친혼은 어떻게 유전병을 더 쉽게 발발하게 만드는 걸까요? 부모와 자식 간은 똑같듯이 닮은 반면, 형제 자매간은 유사한 정도로만 닮듯이 일반적으로 유전적으로 가까울수록 동일한 유전자와 돌연변이를 가질 확률이 높아지게 됩니다. 또한 당연하게도 유전병을 일으키는 돌연변이를 전달받을 확률이 높아질수록 유전병이 발생하기 쉬워집니다. 즉 돌연변이를 부모 중 한쪽만 보유하는 것보다 양쪽 다 보유할 때 자식에게 더 높은 확률로 돌연변이가 전달되게 됩니다. 간단한 예시를 들어보겠습니다. 아버지(BB)의 염색체에는 돌연변이가 없고 어머니(Bb)의 한쪽 염색체에는 돌연변이가 존재할 경우 자식의 50%가 돌연변이를 보유하게 되며, 부모 모두 한쪽 염색체에 돌연변이가 존재한다면 자식의 75%가 돌연변이를 보유하게 됩니다. 이 돌연변이가 우성 유전병이라면 자식에서 각각 50%, 75%의 발병률을, 열성 유전병이라면 각각 0%, 25%의 발병률을 갖게 됩니다. 정리하면 유전적으로 가까운 개체(친족)일수록 동일한 돌연변이를 가질 확률이 높으므로 유전적으로 가까운 어머니와 아버지 사이의 자식은 유전병의 발생률이 급격하게 높아지게 됩니다.
더욱이 우성 유전병의 경우 쉽게 발현되어 비교적 쉽게 돌연변이의 유무 확인이 가능하나, 열성 유전병의 경우 한 쌍의 염색체 중 한쪽에만 돌연변이를 보유하여 유전병은 발생하지 않으나 후대에는 돌연변이를 전달 할 수 있는 보인자(carrier) 형태로 존재하기 때문에 근친혼 자식에서 다수의 유전병이 발생하게 됩니다. 실제로 영국, 미국, 중국에서 합작으로 진행하였던 1000 Genomes Project와 Gonzaga-Jauregui의 연구에 따르면 500,000명 이상의 일반인을 대상으로 진행하였던 유전자 검사 결과, 모든 피실험자가 Clinical Genomic Database (CGD)에 등록된 약 1,800개 이상의 상염색체 열성 유전병 중 20개 이상의 유전병 돌연변이를 보유하고 있다고 보고하였습니다.

돌연변이의 전달 예시
인간들이 미안해...
앞선 내용을 통해 유전적으로 유사한 친족간의 혼인은 같은 유전자와 돌연변이를 갖게 될 확률을 높이기 때문에 유전병을 많이 증가시킬 수 있다는 걸 알게 되었습니다. 이는 인간에게만 국한된 내용이 아닌 동물에게도 같게 적용될 수 있습니다. 동물에서는 근친혼을 근친교배(inbreeding)라고 표현하며 교배하고자 하는 암, 수 개체의 유전적 유사도가 집단의 전체평균보다 높은 경우를 의미합니다. 근친퇴화의 개념이 확립되지 않았던 과거에는 안타깝게도 수많은 동물이 가축화 과정 중에 인간에게 더 유익한 존재가 되도록 근친 교배되었습니다. 이에 따라 다양한 유전병과 근친퇴화가 확인되었으며 일부 동물들에게는 이러한 유전병들이 "저주"처럼 그들의 일평생에 간섭하고 있습니다.
예를 들어, 불독은 이름 그대로 소(bull)를 잡는 투견(dog)이라는 이름 그대로 탄탄하고 강건하였으나 인간이 보기에 더 "올바른" 모습으로 바꾸기 위해 두개골을 더 넓고, 더 짧게 개량하여 기이한 치아 교합과 호흡기 및 후두기관에 문제를 발생하였습니다. 스코티쉬 폴드의 경우에는 앙증맞은 짧은다리와 접힌 귀가 사실 골격 성장에 이상이 생기는 골연골 이형성증으로 인한 장애의 일종이며, 이에 따라 신경 퇴행성 장애로도 악화할 수 있다고 보고되고 있습니다. 젖소의 경우에도 더욱 뛰어난 능력을 갖춘 소위 엘리트 개체를 만들기 위해 근친교배를 시행해 다수의 유전병이 확인되었습니다. 뒷다리 발달에 이상이 생기는 횡반신증(transverse hemimelia)은 보행을 어렵게 하고 심하면 뒷다리 자체가 형성되지 않으며, 1980년대 브라운스위스 젖소에서는 다리가 비정상적으로 휘어지는 거미막증(Arachnomelia) 유전병이 있는 송아지가 다수 발견되기도 하였습니다.

좌측상단 : 불독의 비정상적인 하악골 (출처: University of Nottingham), 우측상단 : 스코티쉬 폴드의 골연골 이형성증 (출처: Osteoarthritis Cartilage), 좌측하단 : 젖소의 횡반신증 (출처: scientific reports), 우측하단 : 젖소의 거미막증 (출처: PLoS Genetics)
극복을 위한 노력
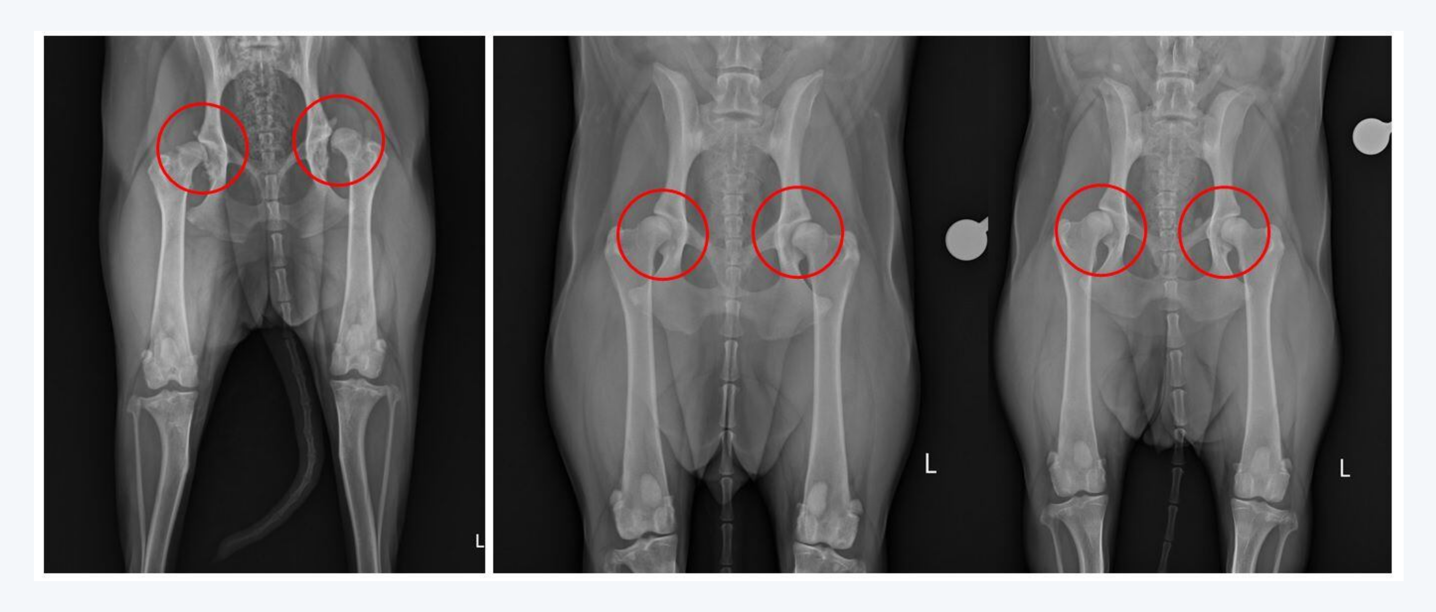
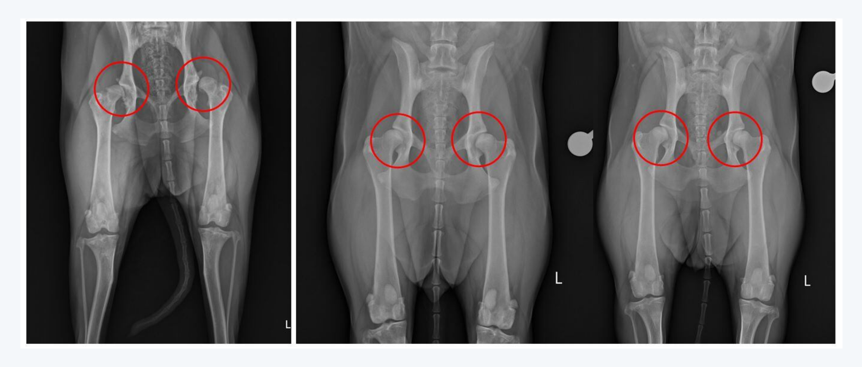
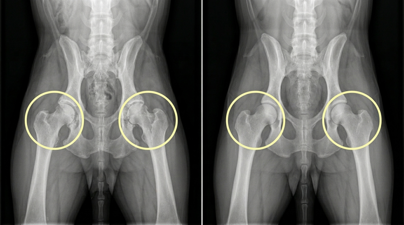
현재에는 과학의 발전과 함께 과거의 문제점을 바로잡기 위한 연구자와 관계자들의 부단한 노력이 이어지고 있습니다. 안내견으로 잘 알려진 래브라도 리트리버 품종도 앞선 불독과 같이 지속적인 근친교배로 인해 고관절 형성에 이상이 발생하여 통증과 움직임을 제한하는 고관절 이형성증으로 크게 고통받아왔습니다. 하지만 최근 국립 충남대학교 김민규 교수팀에서 고관절 이형성증을 유발하는 유전자 돌연변이를 교정한 래브라도 리트리버 복제 개를 생성에 성공하여 래브라도 품종에 씌어있는 "저주"의 연결고리를 끊어낼 수 있는 새로운 방향을 제시하였습니다. 우리나라의 대표적인 육우인 한우에서도 전국 200만 마리에 달하는 한우의 아버지 격인 종모우를 대상으로 지속적인 DNA 검사를 통해 유전병 보인자 유무를 선별하여 유전병의 발생을 최소화하고 있으며 교배 계획을 수립할 때 유전적인 유사도를 고려하여 근친교배를 지양하는 노력을 더 하고 있습니다. 호주 시드니대학교에서 운영하는 OMIA(Online Mendelian Inheritance in Animals)는 약 520여 종의 동물에서 확인되는 유전형질과 변이 및 유전병을 데이터베이스화하여 지속적으로 업데이트를 통해 유전병 연구에 이바지하고 있습니다.

래브라도의 고관절 (좌측)고관절 이형성증을 보이는 일반 래브라도의 고관절, (우측)정상적인 고관절을 보여주는 복제 래브라도 (출처: scientific reports)
인간에게서는 유전병을 극복하기 위한 연구 및 기술도입이 더욱더 활발하게 이뤄지고 있습니다. 현재 가장 대표적으로 시행되는 유전병 극복 방법으로는 착상전유전진단법(Preimplantation Genetic Diagnosis; PGD)이 있습니다. 부모의 정자와 난자를 채취하여 체외수정으로 배아를 생성한 뒤 유전자 진단을 통해 유전병 돌연변이를 갖지 않는 배아만을 선별하여 자궁에 착상하는 방법입니다. 2016년에는 국제학술지인 `네이처`(Nature)에 모계 유전병을 가진 여성의 난자 핵을 추출하여 정상 여성의 난자와 핵 치환을 통해 건강한 배아를 생성하는 세 부모 아기(Three-parent baby) 기술이 발표되었으며, 실제로 동년 4월 6일 자에 유전병을 극복한 아기가 태어나기도 하였습니다. 최근에는 앞서 언급하였던 래브라도 리트리버의 사례와 같이 유전자 돌연변이 교정 방법을 통하여 유전병을 극복하는 연구들이 다수 진행되었습니다.
2017년에는 유전자교정을 통해 호흡곤란을 일으키는 비후성 심근증으로부터 자유로운 인간 배아를 처음으로 생성하였으며, 2018년 11월에는 중국의 허젠쿠이 박사가 인체 면역결핍 바이러스(Human immunodeficiency virus; HIV)에 면역력을 지닌 배아를 생성하여 실제로 세 명의 아이가 태어났으며, 현재까지 문제없이 성장하고 있다고 보고되었습니다. 마찬가지로 2024년에는 환자의 혈액 줄기세포를 추출하여 유전자 돌연변이를 교정 후 환자에게 재이식을 통해 빈혈과 합병증을 일으키는 겸상 적혈구병을 치료하는 기술이 영국 의약품·의료기기규제안전관리국(MHRA)에 승인받기도 하였습니다.

세 부모 아기(Three-parent baby) 기술을 통해 탄생한 아이 (출처: NewScientist)
글을 마치며
본 글을 통해 유전병에 관한 내용과 인간들의 실수로 인해 고통을 받는 동물들의 사례 및 이를 극복하기 위한 노력을 함께 알아보았습니다. 과거에는 정말 "저주"로 여겨졌던 유전병이 시대와 과학의 발전으로 어느 정도 파해 되고 극복되는 모습을 보면 탐구하는 과학과 지식 축적의 위대함을 한 번 더 깨닫게 되었습니다. 앞으로 생명윤리, 비용 문제, 부작용 연구 등 풀어야 할 숙제들이 정말 많지만 언제나 그렇듯 우리는 답을 찾을 것으로 생각합니다. 마지막으로 인류의 생존을 위해서는 가축들의 희생은 불가피하지만, 그 고통을 최소화하는 방향으로 진행되길 바라며 글 마치도록 하겠습니다.
참고자료
- Antonarakis SE. Carrier screening for recessive disorders. Nat Rev Genet. 2019 Sep;20(9):549-561. doi: 10.1038/s41576-019-0134-2. PMID: 31142809.
- Burchell, G. Breeding Frankenstein’s Bulldog: Reimagining the Pedigree in Nineteenth Century England. University of Nottingham, 2015:1-20.
- Drögemüller C, Tetens J, Sigurdsson S, Gentile A, Testoni S, Lindblad-Toh K, Leeb T. Identification of the bovine Arachnomelia mutation by massively parallel sequencing implicates sulfite oxidase (SUOX) in bone development. PLoS Genet. 2010 Aug 26;6(8):e1001079. doi: 10.1371/journal.pgen.1001079. PMID: 20865119; PMCID: PMC2928811.
- Gandolfi B, Alamri S, Darby WG, Adhikari B, Lattimer JC, Malik R, Wade CM, Lyons LA, Cheng J, Bateman JF, McIntyre P, Lamandé SR, Haase B. A dominant TRPV4 variant underlies osteochondrodysplasia in Scottish fold cats. Osteoarthritis Cartilage. 2016 Aug;24(8):1441-50. doi: 10.1016/j.joca.2016.03.019. Epub 2016 Apr 6. PMID: 27063440.
- Gonzaga-Jauregui C, Lupski JR, Gibbs RA. Human genome sequencing in health and disease. Annu Rev Med. 2012;63:35-61. doi: 10.1146/annurev-med-051010-162644. PMID: 22248320; PMCID: PMC3656720.
- Kang E, Wu J, Gutierrez NM, Koski A, Tippner-Hedges R, Agaronyan K, Platero-Luengo A, Martinez-Redondo P, Ma H, Lee Y, Hayama T, Van Dyken C, Wang X, Luo S, Ahmed R, Li Y, Ji D, Kayali R, Cinnioglu C, Olson S, Jensen J, Battaglia D, Lee D, Wu D, Huang T, Wolf DP, Temiakov D, Belmonte JC, Amato P, Mitalipov S. Mitochondrial replacement in human oocytes carrying pathogenic mitochondrial DNA mutations. Nature. 2016 Dec 8;540(7632):270-275. doi: 10.1038/nature20592. Epub 2016 Nov 30. Erratum in: Nature. 2019 Mar;567(7747):E5-E9. PMID: 27919073.
- Kim DE, Lee JH, Ji KB, Lee EJ, Li C, Oh HJ, Park KS, Lee SH, Koo O, Kim MK. Prime editor-mediated correction of a pathogenic mutation in purebred dogs. Sci Rep. 2022 Jul 28;12(1):12905. doi: 10.1038/s41598-022-17200-4. Erratum in: Sci Rep. 2022 Sep 21;12(1):15759. PMID: 35902672; PMCID: PMC9334597.
- Ma H, Marti-Gutierrez N, Park SW, Wu J, Lee Y, Suzuki K, Koski A, Ji D, Hayama T, Ahmed R, Darby H, Van Dyken C, Li Y, Kang E, Park AR, Kim D, Kim ST, Gong J, Gu Y, Xu X, Battaglia D, Krieg SA, Lee DM, Wu DH, Wolf DP, Heitner SB, Belmonte JCI, Amato P, Kim JS, Kaul S, Mitalipov S. Correction of a pathogenic gene mutation in human embryos. Nature. 2017 Aug 24;548(7668):413-419. doi: 10.1038/nature23305. Epub 2017 Aug 2. PMID: 28783728.
- Whitacre LK, Hoff JL, Schnabel RD, Albarella S, Ciotola F, Peretti V, Strozzi F, Ferrandi C, Ramunno L, Sonstegard TS, Williams JL, Taylor JF, Decker JE. Elucidating the genetic basis of an oligogenic birth defect using whole genome sequence data in a non-model organism, Bubalus bubalis. Sci Rep. 2017 Jan 3;7:39719. doi: 10.1038/srep39719. PMID: 28045068; PMCID: PMC5206621.

EDITOR
조성현
R&D Center · Senior Researcher
'STORAGE' 카테고리의 다른 글
| 인실리코젠 프로젝트: 데이터 육종 I (0) | 2024.05.27 |
|---|---|
| 건강기능식품, 효과만큼 주의사항도 체크하세요! (0) | 2024.05.09 |
| 인실리코젠 프로젝트 : 골다공증 인공지능 예측모델 구축 (0) | 2024.04.08 |
| 워킹맘의 人Co 라이프 (0) | 2024.03.25 |
| 꽃가루와 알레르기, 면역체계의 과민반응 (0) | 2024.03.11 |

댓글